- Diş doktoru korkusunu nasıl yenersiniz?
- Diş Oyukları Neden Oluşur?
- Nasıl Önlenir?
- Dişlerimize En iyi Şekilde Nasıl Bakarız?
- Diş macunu seçerken nelere dikkat edilmeli?
- Dişlerimizi Nasıl Beyazlatırız?
- Diş çatlakları tam olarak nedir ve neden acil tedaviye ihtiyaç duyar?
- Diş kaplamaları güvenli mi?
- Eksik bir dişe sahip olmak uzun sürede nasıl bir etki yapar?
Diş doktoru çoğumuzun en mecbur kaldığımız anlarda ziyaret ettiği bir yer. Ancak her 6 ayda bir herhangi bir sorun olmasa da kontrole gitmemiz gerektiğini biliyoruz buna rağmen gereken önemi verip de zaman ayırmıyoruz.
Bu içeriğimizde diş doktorlarına en çok sorulan soruların cevapları ve hayat kurtaran önerilerini derledik.
Tabi ki bu sizi diş doktoruna gitmekten kurtarmayacak hatta belki de bir nebze olsun sizi diş doktorunu ziyaret etmeye itmesini amaçlıyoruz. Cevaplayacağımız sorulardan bazıları, nasıl en doğru diş macununu seçerim? Parlak bembeyaz bir gülüşe nasıl sahip olurum? Çürüklerle savaşmanın en doğru yolu nedir?
Bilge Cafe olarak size en doğru bilgileri ayrıntısıyla vermeye özen gösterdik. Ayrıca doğru bildiğiniz yanlışları da göstermeyi ihmal etmedik. Unutmayın bu içerik sizi diş doktoruna gitmekten kurtarmayacak aksine size telefonu kaldırıp randevu aldıracak!
Diş doktoru korkusunu nasıl yenersiniz?

Diş doktorlarına kendimizi bırakırken içimizde bir korku oluşur. Dişlerimizi düzenli temizlemediğimiz için, gitmeden önce fırçalamaya vakit bulamadığımız için veya doktor işini yaparken oluşacak fiziksel yakınlık sebebiyle kendimizi tuhaf hissederiz. Bu korkuları ve tuhaf durumları aşmak için birkaç senaryo oluşturduk:
- İlk yapmanız gereken şey – o koltuğa oturmak için ağrının dayanılmaz hale gelmesini beklemeyin! Hem tedavi sürecini hem de kendi çekeceğiniz acıyı uzatmaktan başka bir işe yaramaz. Ayrıca ağrı ne kadar şiddetliyse anestezinin işe yaramama olasılığı da o kadar yüksek olur.
- Diş doktorunu ziyaret etmeden önce sakinleştirici ilaçlar veya içecekler tüketmemeye özen gösterin. Zaten anestezi uygulanacağı için gereksiz bir karma etkiye sebep olursunuz. Herhangi bir şeye ihtiyaç duymadan kendinizi sakinleştirmenin yollarını bulun. Eğer sakinleşmiyorsanız en fazla bir bardak bitki çayı için. Asla ama asla diş doktorunu ziyaret etmeden önce alkol kullanmayın. Hem tedavi süresince oluşacak kanamayı arttırarak dişçinin işini zorlaştırır hem anestezi ile birleşerek amacından farklı bir sonuç doğurur.
- Eğer fırsatınız varsa dişçinizle tedavi planını önceden konuşun. Nasıl bir yol izleyecek, sizin ne yapmanıza ihtiyacı var gibi planları beraber yaparsanız çok daha rahat hissedeceksiniz.
- Tedavi süreciniz basitten başlayıp karmaşığa doğru gitmelidir. Basit bir temizlik ve dolgu süreciyle geçen bir iki tedavi sonrasında kanal tedavileri, çekilmesi gereken dişler ve onarılması gereken sinir köklerine geçilir. Bu sebeple dişçinizi ziyaret etmek için son ana kadar beklemeyin diyoruz. Hem doktora hem de ortama alışmak için zamanınız olması tedavi sürecini kolaylaştıracaktır.
- Randevularınızı sabah saatlerine almaya çalışın. Hem endişelenmek için daha az vaktiniz olur hem de sabah saatlerinde akşama kıyasla daha az acı hissedersiniz. Hem de işten izin almak için bir bahaneniz olur ve bütün günü kendinize ayırabilirsiniz.
Diş Oyukları Neden Oluşur?

Kısaca özetlersek, ağzınızda üreyen bakteriler, artıklar ile beslenerek asit üretir ve diş mine tabakanız bu asit yüzünden erimeye başlar. Eğer ağız hijyenine yeterince önem vermiyorsanız veya bağışıklık sisteminiz sizi bu bakterilerden koruyacak kadar güçlü değilse diş oyukları meydana gelir.
Nasıl Önlenir?
- Diş bakımınıza dikkat etmelisiniz. Diş minenize iyi bakmalısınız. Sadece düzenli fırçalamak yerine diş minenize iyi gelecek vitamin ve mineral takviyeleri almalısınız.
- Dişlerinizin uzun süre asidik bir ortamda kalmasına izin vermeyin. Şekerli yiyecek ve içecekler tükettikten sonra ağzınızı hiç değilse gargara yapmayı ihmal etmeyin. Hiç olmazsa su içerek ağzınızı temizleyin.
- Uyumadan önce şekerli içecekler tüketmeyin özellikle, dişlerinizi fırçaladıysanız. Geceleri tükürük bezleriniz çalışmaz ve bu sebeple mine tabakanızı koruyacak antikorlar sabaha kadar beklemek zorundadır. Sudan başka bir içecek tükettiğiniz takdirde sabaha kadar ağzınızda kalacaktır.
Dişlerimize En iyi Şekilde Nasıl Bakarız?

- Orta sertlikte bir diş fırçasıyla günde 2 kez en az 3’er dakika fırçalamalısınız. Dişleriniz hassas ise yumuşak fırçalar tercih edin. Her dişinize ayrı ilgi göstererek fırçalamanız önemlidir. Sadece sağ sol hareketiyle diş fırçalarsanız dişlerinizin alt ve üst kısımları, arkaları temizlenmeyecektir ve var olan plak tabakaları daha derinlere itilecektir.
- Diş telleriniz veya herhangi başka bir aparatınız var ise bu durumlar için özel üretilmiş diş temizliği ekipmanlarından kullanın.
- 6 ayda bir mutlaka diş doktorunuzu ziyaret edin ve dişlerinizi temizlettirin. Düzenli olarak dişlerinizi fırçalıyor olsanız bile bazı bölgeler ancak profesyonel ekipmanla temizlenebilir. Ayrıca dişlerinizde oluşmaya başlayan herhangi bir sorun var ise bunu tespit ederek tedaviye başlanılabilir.
- 2-3 ayda bir diş fırçanızı değiştirin. Ayrıca her dişçi ziyaretinizden sonra da aynı işlemi uygulayın. Temiz dişlere eski bakteriler bulaşmamalı. Ayrıca hastalandıktan sonra da diş fırçanızı değiştirmelisiniz. Kurtulduğunuzu sandığınız hastalığa diş fırçanız yüzünden tekrar yakalanabilirsiniz.
Diş macunu seçerken nelere dikkat edilmeli?

Diş temizliğinde önemli olan dişi fırçalama tekniğidir. En iyi diş macununu kullansanız bile eğer 30 saniyelik bir temizlik yapıyorsanız faydalı olmayacaktır.
Eğer hassas diş ve diş etleriniz yok ise piyasadaki ürünleri kullanmanızın bir sakıncası yoktur. Ancak özel bir sorununuz var ise diş macununuza dişçinizin karar vermesine izin verin.
Ayrıca yaşadığınız bölgedeki suya ne oranda florür karıştırıldığını öğrenin. Eğer karıştırılmyor veya az karıştırılıyor ise mutlaka florürlü diş macunu kullanın. Florür sizi diş oyuklarından ve çürük başlangıçlarından korur ve mine tabakanızı güçlendirir. Florürün zehir olduğundan bahseden makaleler ne yazık ki bardak bardak tüketmediğimizi atlıyor geliyor.
İlaç ve zehir arasındaki tek farkın aldığınız doza bağlı olduğunu bilmekte fayda var.
Dişlerimizi Nasıl Beyazlatırız?

Diş beyazlatıcı diş macunları diş için zımpara kağıdı gibidir. Üst plak tabakasını kazıyarak dişe doğal görünümünü verirler bu sebeple bazı diş macunlarının üzerinde her gün kullanmayın şeklinde uyarılar bulunur. Sigara kullanıyor, çay ve sigara fazla tüketiyorsanız bu tip diş macunlarını tercih edebilirsiniz.
Dişlerinizin doğal rengi hafif sarımsıdır. Bu sebeple sadece evde yapacağınız tedaviler ile belli bir tondan fazla renk açamazsınız ancak diş doktorları dişlerinizi bembeyaz yapacak tedaviler uygulayabilir. Daha önce diş beyazlatma ve aktif kömür içerikli bir makale yayınlamıştık.
Buradan bakınız: Dişlerinizi Beyazlatmak İçin Bu Kömürle Fırçalayın
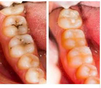
Diş çatlakları tam olarak nedir ve neden acil tedaviye ihtiyaç duyar?

Normal çiğneme veya dış etkiler sebebiyle diş minenizde mikro çatlaklar oluşur ve bu çatlaklar zamanla büyür. Bu boşluklara sıkışan yemek artıkları bakteri üremesine ve çatlakların çürüklere dönüşmesine sebep olur.
Mikro çatlakların kapatılması için dişçiler bu çatlakları kendilerini iyileştirecek bir macun tabakasıyla kaplar ve bu sayede yiyecek artıkları ve diğer maddeler bu boşluklara sıkışıp kalmaz.
Diş kaplamaları güvenli mi?

Dişinizin ön kısmına yerleştirilen seramik kaplamalar sayesinde inci gibi dişlere sahip olabilirsiniz. Hem renk hem de şekil açısından oldukça düzelmiş bir diş yapısına sahip olacaksınız. Ancak mine tabakası bu işlem öncesinde temizlenerek kaplama için düzgün şekilde hazırlanmalıdır aksi halde kaplama tutmayacaktır.
Kaplamalar şu durumlarda işinize yarar:
- Eğer dişleriniz arasında büyük boşluklar varsa
- Dişleriniz kolayca beyazlayan türden değilse
- Dişlerinizde tel ile düzelemeyecek şekil bozuklukları varsa
Belli sürelerde kaplamalar yenilenmeye ihtiyaç duyar. Eğer diş gıcırdatma gibi huylarınız varsa kaplama yaptırmanızı tavsiye etmeyiz. Ayrıca eğer eksik bir dişiniz var ise ve kendi dişleriniz ile çok da büyük dertleriniz yok ise kaplama yaptırmak çok da doğru bir tercih olmayacaktır. Önemli olan dişlerinizin işlevini yerine getirebiliyor olmasıdır şekil ve renk sorunları sonraki aşamalardır ve özgüvenimizi etkilememelidir.
Eksik bir dişe sahip olmak uzun sürede nasıl bir etki yapar?

Eğer dişlerinizden biri çekildiyse, boş kısmı olduğu gibi bırakmamanızı tavsiye ediyoruz. Nasılsa gözükmüyor diyerek ertelediğiniz diş boşlukları diğer dişlerin eğilerek o boşluğu doldurması ile sonuçlanıyor ve uzun vadede bütün dişlerinizin şekli bozuluyor. Ayrıca eksik bir dişiniz olduğunda dışardan daha yaşlı gösteriyorsunuz.
Bu tip bir bozukluğu gidermek tek bir diş protezi almaktan çok daha pahalıya geliyor. Bu sebeple benzer bir sorunla karşılaştığınızda sorunu ihmal etmeyin ve dişçinizin önerisini dinleyin.
Diş doktorlarına sormak istediğiniz başka sorunuz var mı? Yorumlarda bizimle paylaşın!
