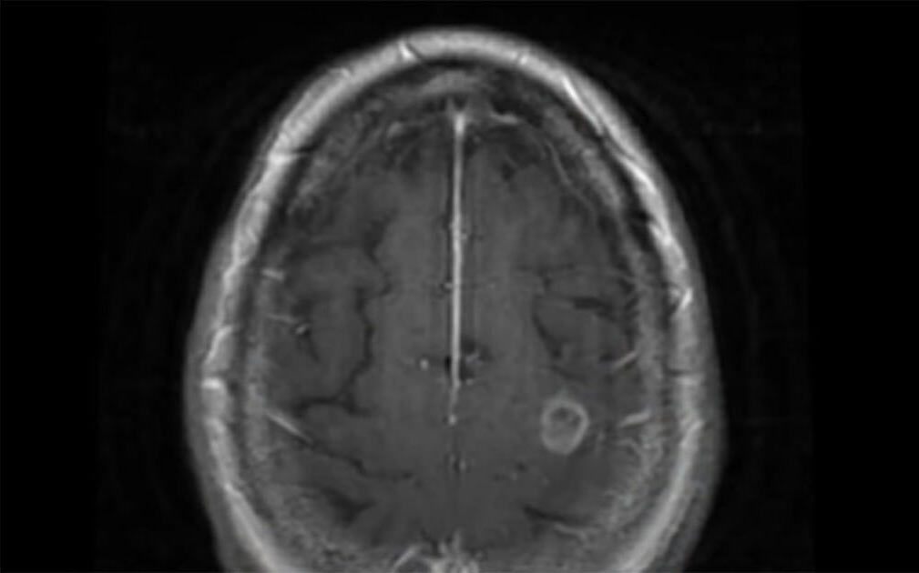
Seattle’ da yaşayan 69 yaşındaki bir kadın Aralık 2018’de öl-ümcül bir nöbet geçirdi. Nöbet geçirdiği esnada sağlık ekibi de zor anlar yaşadı. Beyin tümöründen şüphelenmişlerdi ancak gerçek ameliyat sırasında anlaşıldı. Ameliyatta kadından öl-übeyin dokusu çıkardılar.

69 yaşındaki kadının nöbet geçirmesine neden olan şeyin, sıcak toprakta ve suda yaşayan ve beyin hücrelerini aşamalı olarak öldürme yeteneğine sahip olan öl-ümcül bir amip olduğu anlaşıldı.
İsveç Tıp Merkezi’nde Doktor Charles Cobbs, “Patolog mikroskop altında bakarak ve karakteristiğini tespit etti… aslında dokudaki amip.” dedi.
Teşhisin ardından sadece bir ay sonra kadın öldü. Yaklaşık bir yıldır sinüslerini temizlemek için neti potu cihazı kullanmıştı.

Neti potu cihazının su haznesine musluk suyu doldurmasından kaynaklandığına inanılıyor.
Doctor Cobbs: “Bazıları sinüslerini ıslatmak için neti potu cihazı kullanıyor. Bu cihazda steril tuzlu su veya steril su kullanmak kullanılmalıdır. Öyle zannediyorum ki 69 yaşındaki kadın evde sadce filtreden geçirdiği suyu kullanıyordu. ” dedi.

Şimdi böyle bir şeyin gerçekleşme oranı düşük ama iklim değişikliği ve ABD’ de yaşayan insan sayısı arttıkça teh-dit oluşturabilir.

Kadının hikayesi ve Dr. Cobbs’un konuşmasını aşağıdaki videodan izleyebilirsiniz:
Burun spreyinizle sadece steril tuzlu su veya steril su kullanmalısınız.
