Dengeli ve besin değerleri yüksek bir beslenme düzeniyle yaşamak vücudumuza birçok yönden faydalıdır. Ancak bu dengeli beslenme düzenini sürdüren çoğu kişi, diyetlerinde belirli besin maddelerini göz ardı ederler. Bu durum da can sıkıcı hastalık belirtilerine sebep olur.
Bu belirtiler ortaya çıktığında genelde sinirleniriz ancak bu durum vücudumuzun belirli vitamin ve mineral eksiklikleri olduğunu bize haber vermesinin tek yoludur. Bu belirtilerin farkında olarak, beslenme planınızı kendi sağlığınıza göre düzenleyebilirsiniz.
Eğer vücudunuzda vitamin eksikliği varsa, eksik olan vitamine göre aşağıdaki belirtileri göstermeniz muhtemeldir.
Saç ve Tırnaklarda Kırılma

Saç ve tırnaklarda kırılmaya sebep olan vitaminlerin başında biyotin gelir. Yapılan bir araştırmaya göre uzun bir süre boyunca çiğ yumurta beyazı tüketen kişilerde biyotin eksikliği görülür. Bu durumun sebebi çiğ yumurta beyazının içinde avidin adlı bir madde bulunmasıdır. Avidin; biyotinin bağlayıcı proteinidir, bu da demek oluyor ki tüketildiğinde biyotin emilimini azaltır. Araştırmalardan birinde belirtildiği üzere; aylarca çiğ yumurta tüketen kişiler saçlarda incelme, saç kaybı ve tırnak kırılmalarıyla karşılaşmıştır.
Ağız ülseri

Hiç ağzınızda aft ya da yanaklarınızın içinde çatlama oldu mu? Eğer olduysa demir oranınızın düşük olması ya da B Vitamini eksikliğinizin olması muhtemeldir. Amerika’da yapılan bir araştırmada ağız ülseri şikayeti olan kişiler üzerinde bir deney yapılmış; hemoglobin ve kan hücreleri sayılarında eşitlik olup olmadığına bakılmıştır. Örnekler kısıtlı olsa da, araştırmacılar ağız ülseri olan kişilerin demir seviyelerinin, olmayanlardan iki kat daha düşük olduğunu gözlemlemiştir. Buna ek olarak, 60 kişi üzerinde yapılan başka bir araştırmada, ağız ülseri olan hastaların %28.2’sinde B1, B2 ve B6 vitaminlerinden en az birinin eksik olduğu görülmüştür.
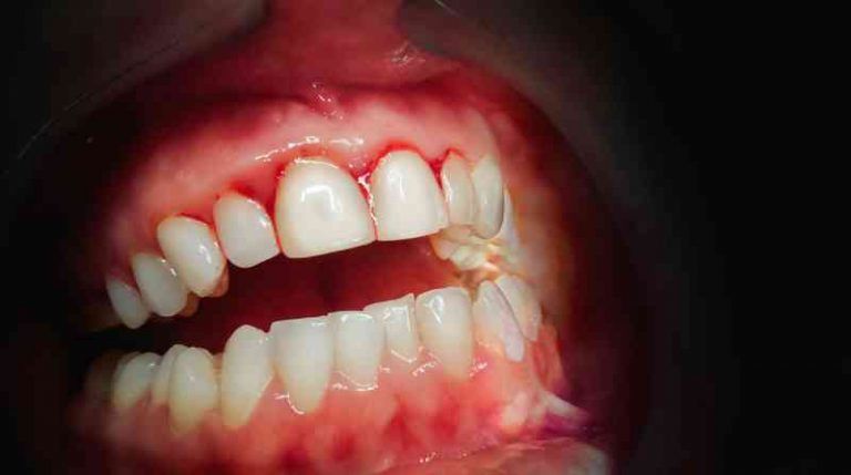
Diş Eti Kanaması

Bazen dişlerinizi sert bir şekilde fırçaladığınızda diş etlerinizin kanadığını görürsünüz. Bu “gingivit” hastalığının bir belirtisi olabilir ancak vücudunuzda C Vitamini eksikliği olması da buna sebep olabilir. Yapılan bir araştırmaya göre, C Vitamini eksikliği devam ettikçe vücuttaki kolajen sentezleri parçalanır ve bağ dokular zayıf hale gelir. Dokuların zayıflamasına sebep olan bu durumun sonunda şiş ve kanayan diş etleri, hatta diş kaybı gibi ciddi sorunlar ortaya çıkabilir.
Zayıf Gece Görüşü

Eğer beslenme programınızda A Vitamini eksikse, gece körlüğünden şikayetçi olabilirsiniz.Yapılan bir araştırmaya göre, bu belirti tedavi edilmezse ilerleyebilir ve kseroftalmi ( göz kuruluğu) hastalığına sebep olabilir. Bu rahatsızlık korneaya zarar verir ve sonunda hastayı körlüğe kadar götürebilir.
Deride Pullanma ve Kepek

Pullanma ve kepeğin birçok farklı sebebi olabilir. Yapılan bir araştırmaya göre bu sebeplerden biri de B6 Vitamini eksikliğidir. İnsan Vücudunda B6 Vitamininin Önemi adlı kitaba göre, yağ salgılayan iltihapların ana sebeplerinden biri de B6 Vitamini eksikliğidir. Bu iltihap, saç derisinde görülen bir cilt rahatsızlığıdır. Bu durumun sebebi, B6 Vitamininin yeni hücre üretiminde önemli bir etken olmasıdır. Dolayısıyla hücrenin kendini yenileme özelliği ortadan kalktığında, deride döküntüler meydana gelir.
Saç Kaybı

İngiliz Dermatoloji Dergisinde yayınlanan bir araştırmaya göre, D Vitamini eksikliği saç kıran, yani saç derisinde ya da vücudun diğer bölümlerinde yer yer dökülmeye yol açan hastalığa yol açar. Bu araştırmanın asıl amacı saç kıran hastalığına sahip hastalardaki D Vitamini durumunu ve D Vitamini seviyeleriyle hastalığın yoğunluğu arasındaki ilişkiyi ölçmektir. Araştırmacılar saç kırana sahip olan 86 hastayı, vitiligoya sahip olan 44 hastayı ve sağlıklı durumda olan 58 hastayı incelemeye almıştır. Sonuçlarda, saç kıran hastalığına sahip olan hastaların D Vitamini seviyelerinin diğerlerine nazaran daha düşük olduğu görülmüştür. Bunun sebebi ise vücudun bağışıklık sisteminin saç köklerine saldırmasıdır.
Ciltte Ortaya Çıkan Beyaz ve Kırmızı Noktalar

Eğer cildinizde kırmızı ve beyaz noktalar varsa, “keratosis pilaris” hastalığınız olabilir. Bu rahatsızlıkta hastanın kollarında, üst bacaklarında ve kalçalarında akneye benzeyen küçük, kırmızı ya da beyaz renkli noktalar oluşur. Livestrong‘ta yer alan bir makaleye göre, keratosis pilaris tamamen kozmetik bir rahatsızlıktır, sağlığa hiçbir zararlı etkisi yoktur ve genelde acımaya ya da kaşıntıya sebep olmaz. Dove Medikal Basın‘ı tarafından yayınlanan bir makaleye göre de, A Vitamini eksikliği cildin kurumasına ve foliküler hiperkeratoza (saç köklerinde çok fazla keratin birikmesi) sebep olur. Yani A Vitamini alımının fazla olduğu bir beslenme programı uygulanırsa, keratosis pilaris’in iyileşmesinde gelişme görülebilir.
Huzursuz Bacak Sendromu

Sinirsel Hastalıklar Ulusal Kurumu‘na göre, Amerikalıların %10’u huzursuz bacak sendromundan şikayetçidir ve kadınlarda bu olasılık iki kat daha fazladır. PubMed‘de yayınlanan bir makaleye göre, huzursuz bacak sendromunun bilinen iki sebebi vardır: Merkezi Sinir Sisteminde dopaminerjik anormallik ve Merkezi Sinir Sisteminde demir yetersizliği. Damar içi demir tedavisiyle sürdürülen bir araştırmada, araştırmacılar beyindeki demir eksikliğinin huzursuz bacak sendromuyla bağlantılı olduğunu bulmuşlardır.
Buna ek olarak, yine yayınlanan tıbbi bir makalede, huzursuz bacak sendromunun ikinci ana sebebinin demir eksikliği olduğu açıklanmıştır. Bu makaleye göre, vücudun demir depoladığının en güvenilir göstergeleri serum ferritin, transferrin ve transferrin saturasyonu düzeyleridir. Bu üç değer de demir oranlarının yüzdelerinin ölçülmesinde yardımcı olur. Makalede açıklandığına göre; yapılan birçok çalışmada düşük ferritin değerlerinin Huzursuz Bacak Sendromunun artmasıyla bağlantılı olduğu görülmüştür. Ancak demir eksikliği sorunu çözülmeye başlandığından itibaren, sendromun belirtileri de azalmıştır.
